La báscula y sus otros socios mentirosos

Estamos condicionados para subir a la báscula y verificar si estamos perdiendo o ganando peso. Algunos lo hacen todos los días, otros solo de vez en cuando. Algunas personas incluso han escondido su báscula en algún rincón escondido del armario para nunca verla de nuevo mientras otras la han botado a la basura o quizás hasta la han prendido fuego.
En nuestra clínica de alimentación baja en carbohidratos, pesamos a los pacientes en cada visita. Por supuesto, es uno de los marcadores del progreso. Es el que le importa a todo el mundo, pero es el menos confiable. Miente todo el tiempo sobre cuánto se está progresando. Puede ser desalentador, especialmente para aquellas personas que comen keto y limpio desde hace varias semanas.
Lo que decimos a los pacientes
Esto es lo que decimos a nuestros pacientes:
- Tu cuerpo contiene mucha agua e intenta equilibrarla dentro de un rango de 2 litros. Un litro de agua equivale a alrededor de 1 kg o 2 libras. Si acabas de tomar mucha agua, pesarás más. Si acabas de hacer ejercicio, puede ser que peses menos. Solo es agua.
- Los pacientes normalmente se pesan en casa, tal como vinieron al mundo. Preferimos no hacer eso en la clínica. La ropa puede añadir fácilmente alrededor de 1 kg (2 lb).
- Diferentes básculas muestran diferentes resultados. Puede haber una diferencia significativa entre la báscula que usas en casa y la que está en mi consulta. Lo aprendí por la fuerza cuando mi hija recién nacida de 2 kg (5 libras) estaba “perdiendo demasiado peso” en una báscula en una farmacia y “ganado peso perfectamente” en la báscula de la clínica. Un resultado casi nos hizo volver al hospital presas del pánico (ya lo sabes, los padres primerizos pueden asustarse fácilmente), mientras el otro nos hizo suspirar con alivio. Es útil usar la misma báscula todo el tiempo.
- Los músculos pesan más que la grasa pero ocupan menos espacio. Mis pacientes obtienen una evaluación completa con Marc Ciminelli, nuestro kinesiólogo, más o menos a la mitad de su programa de 6 meses. En ese momento, normalmente se sienten tan bien que están muy ansiosos para empezar a moverse. Cuando empiezan a hacer ejercicio según sus capacidades, muchas veces vemos que las cifras en la báscula empiezan a disminuir más lentamente. Algunos pacientes se desaniman mucho por eso. Se han acostumbrado a medir el progreso usando una báscula. La enfermera, Sylvie, siempre les recuerda que perder centímetros de la cintura es un marcador mucho más confiable de pérdida de peso, y un mucho mejor marcador de salud metabólica.
- Puede ser también que peses más los días después de una sesión intensa de levantar pesas, ya que tus músculos están dolorosos y un poco hinchados.
- Hacer ejercicio y seguir una alimentación saludable puede aumentar la densidad de los huesos. Si tus huesos se vuelven más densos, se vuelven más pesados.
- Los carbohidratos causan retención de agua. Si has comido alguna indulgencia alta en carbohidratos, es probable que retengas agua. La insulina causa retención de agua: una rodaja de pan no hizo que ganaras 2 kg (4 libras) de grasa durante la noche.
- El estreñimiento puede causar un exceso de peso de 0,5-2 kg (1-4 libras).
- Los cambios hormonales pueden causar la retención temporal de agua.
- Etc.
Así que la báscula es una gran mentirosa cuando se trata de contar la historia completa del progreso. En mi opinión, es una de los mayores mentirosos. Pero hay otros. Y estos otros pueden engañar no solo a los pacientes, sino a los médicos también.
Reducción de circunferencia de la cintura
En nuestra clínica también medimos la pérdida de centímetros o pulgadas de la cintura. Para ser precisos, medimos alrededor del ombligo (no alrededor de la cintura de verdad) y tratamos de mantener una línea horizontal con la cinta métrica para que el resultado sea comparable de una visita a otra. Sabemos que la obesidad central (piensa en una “panza de cerveza”) es un fuerte marcador de enfermedades metabólicas como resistencia a la insulina, hígado graso, inflamación crónica, etc. La circunferencia de la cintura es uno de los criterios oficialmente reconocidos del síndrome metabólico.
Perder centímetros de la cintura es un marcador mucho mejor de mejoras en la salud que la báscula. Y los dos no necesariamente van de la mano. Es muy común ver una pérdida de centímetros mientras la cifra en la báscula no se mueve para nada.
Los pacientes se decepcionan cuando la báscula no se mueve. Sylvie les hace recordar que perder centímetros es una victoria mayor. Sonríen a medias. En el fondo siguen preocupándose más que todo por la cifra en la báscula. Cambiar esta mentalidad es un trabajo constante.
Pero los centímetros también saben mentir.

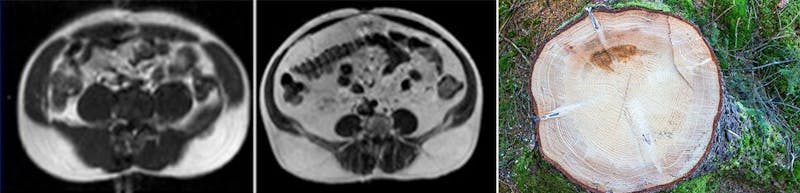
Aquí puedes ver dos escaneos de dos pacientes con la misma circunferencia de cintura. Para entender lo que estás viendo, imagina mirar todos los círculos dentro de un árbol cortado.
A la izquierda puedes ver que hay bastantes músculos. Son los círculos oscuros que ves justo debajo de la capa blanca exterior de grasa.
A la derecha, puedes ver una capa muy delgada de músculos debajo de la grasa. También puedes ver MUCHA grasa blanca dentro de la cavidad abdominal. Hay grasa por todo lados, alrededor y dentro de los órganos. A estas personas las denominamos DFGD, que significa delgado por fuera, gordo por dentro. Una persona DFGD puede verse normal o saludable, pero las apariencias pueden engañar.
A continuación verás ocho ejemplos de hombres que tienen la misma circunferencia de cintura.






Así que perder centímetros de cintura es un marcador maravilloso de mejoras en la salud metabólica. Pero no siempre se puede confiar en el número real de centímetros. No supongas que una persona es saludable o que no tiene diabetes de tipo 2 solo porque tiene una circunferencia de cintura que no esté dentro de los criterios del síndrome metabólico.
Perfil lipídico
En nuestra clínica de alimentación baja en carbohidratos hacemos análisis extensos de sangre con cada paciente al inicio del programa, y después de 3 y 6 meses. Entre otras cosas, revisamos y monitoreamos los marcadores lipídicos. Y por supuesto, no nos fijamos solamente en el LDL. Como diría el Dr. Ken Sikaris (fíjate en sus excelentes videos sobre los lípidos en YouTube), “Si solo te importa el LDL, llevas unos 30 años de retraso”. Para tener una idea de lo cierto que es, echa un vistazo a El código del colesterol.
Por muchas razones diferentes, cuando la gente empieza una alimentación baja en carbohidratos o cetogénica y sobre todo si tiene hígado graso y/o mucha grasa por perder, los primeros perfiles lipídicos pueden mostrar toda clase de situaciones que pueden ser alentadoras o preocupantes. A veces lo que sale del laboratorio es una simple casualidad. Tú o tu médico no deben interpretar los resultados como prueba de que comer bajo en carbohidratos no funciona para ti. Para la gran mayoría de personas, los marcadores lipídicos se normalizan eventualmente, y muestran mejoras significativas en comparación con el punto de inicio. Puede tomar tiempo.
HbA1c o A1c
Esta es otra mentirosa: la hemoglobina glicada. Es una forma de hemoglobina (glóbulos rojos) que se mide para estimar el nivel medio de glucemia de una persona durante los últimos 3 meses. Es particularmente útil en el caso de los diabéticos. Los pacientes que consumen menos carbohidratos, y por lo tanto menos azúcar, esperan que la HbA1c se reduzca. Pero ella también puede ser mentirosa.
Si eres diabético y tomas varios medicamentos para reducir la glucemia, incluyendo insulina, es normal que tu glucemia se reduzca cuando empiezas a comer bajo en carbohidratos. Debería reducirse casi a niveles normales, punto en el cual reduciré o eliminaré uno de los medicamentos que estás tomando. Tu glucemia subirá un poco (mi objetivo es que siempre esté por debajo de 12). A la medida que sigas con tu alimentación baja en carbohidratos, tu glucemia se reducirá de nuevo. Reduciré o eliminaré otro de tus medicamentos. La glucemia subirá un poco más otra vez, pero otra vez bajará, etc. El objetivo es eliminar todos los medicamentos para la diabetes si es posible (así como la mayoría de antihipertensivos).



Así que cuando se mide la HbA1c en el medio de todo este proceso, es posible que muestre un resultado más alto que el anterior. ¿Significa que el proceso no está funcionando? Por supuesto que no. Si el resultado anterior se logró con, digamos, 2 o 3 medicamentos eliminados, es seguro que está funcionando.
Por eso, para cualquier paciente que siga una alimentación baja en carbohidratos y cualquier médico que monitoree el proceso, pienso que es esencial medir el progreso usando más de un marcador y darle a todo el proceso de corrección de la enfermedad tiempo para ver la aparición de una tendencia. Ten en cuenta que habrá obstáculos en el camino, altibajos inexplicables, marcadores que van temporalmente en la dirección equivocada. Céntrate en sentirte bien, y no tanto en la báscula o sus otros amigos mentirosos.
Recuerda que nadie se volvió diabético u obeso de la noche a la mañana. Tomó tiempo enfermarte y tomará un tiempo para que tu cuerpo sea otra vez saludable. Solo sigue con los carbohidratos bajos. Y considera guardar la báscula durante un tiempo.
Más
La dieta cetogénica para principiantes
La dieta baja en carbohidratos para principiantes


